TUBA1C Antibody (C-term)
Affinity Purified Rabbit Polyclonal Antibody (Pab)
- SPECIFICATION
- CITATIONS: 1
- PROTOCOLS
- BACKGROUND

Application
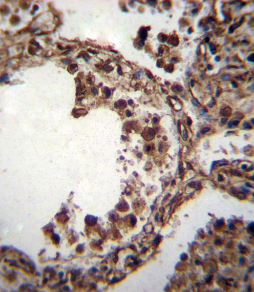
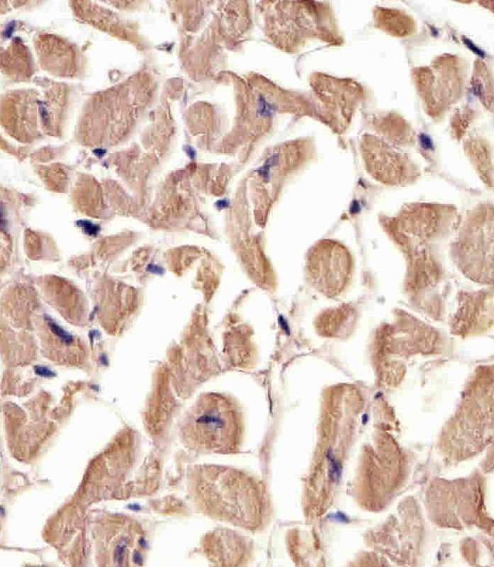
| WB, IHC-P, E |
|---|---|
| Primary Accession | Q9BQE3 |
| Other Accession | P08537, NP_116093.1 |
| Reactivity | Human, Mouse, Rat |
| Predicted | Xenopus |
| Host | Rabbit |
| Clonality | Polyclonal |
| Isotype | Rabbit IgG |
| Calculated MW | 49895 Da |
| Antigen Region | 414-441 aa |
| Gene ID | 84790 |
|---|---|
| Other Names | Tubulin alpha-1C chain, Alpha-tubulin 6, Tubulin alpha-6 chain, TUBA1C, TUBA6 |
| Target/Specificity | This TUBA1C antibody is generated from rabbits immunized with a KLH conjugated synthetic peptide between 414-441 amino acids from the C-terminal region of human TUBA1C. |
| Dilution | WB~~1:2000 IHC-P~~1:25 E~~Use at an assay dependent concentration. |
| Format | Purified polyclonal antibody supplied in PBS with 0.09% (W/V) sodium azide. This antibody is purified through a protein A column, followed by peptide affinity purification. |
| Storage | Maintain refrigerated at 2-8°C for up to 2 weeks. For long term storage store at -20°C in small aliquots to prevent freeze-thaw cycles. |
| Precautions | TUBA1C Antibody (C-term) is for research use only and not for use in diagnostic or therapeutic procedures. |
| Name | TUBA1C |
|---|---|
| Synonyms | TUBA6 |
| Function | Tubulin is the major constituent of microtubules, a cylinder consisting of laterally associated linear protofilaments composed of alpha- and beta-tubulin heterodimers. Microtubules grow by the addition of GTP-tubulin dimers to the microtubule end, where a stabilizing cap forms. Below the cap, tubulin dimers are in GDP-bound state, owing to GTPase activity of alpha-tubulin. |
| Cellular Location | Cytoplasm, cytoskeleton. |

Provided below are standard protocols that you may find useful for product applications.
Background
Tubulin is the major constituent of microtubules. It binds two moles of GTP, one at an exchangeable site on the beta chain and one at a non-exchangeable site on the alpha-chain.
References
Frum, R., et al. J. Proteome Res. 6(4):1410-1417(2007)
Olsen, J.V., et al. Cell 127(3):635-648(2006)
Olsen, J.V., et al. Cell 127(3):635-648(2006)
Guo, D., et al. Biochem. Biophys. Res. Commun. 337(4):1308-1318(2005)
Rush, J., et al. Nat. Biotechnol. 23(1):94-101(2005)
If you have used an Abcepta product and would like to share how it has performed, please click on the "Submit Review" button and provide the requested information. Our staff will examine and post your review and contact you if needed.
If you have any additional inquiries please email technical services at tech@abcepta.com.






Foundational characteristics of cancer include proliferation, angiogenesis, migration, evasion of apoptosis, and cellular immortality. Find key markers for these cellular processes and antibodies to detect them.
The SUMOplot™ Analysis Program predicts and scores sumoylation sites in your protein. SUMOylation is a post-translational modification involved in various cellular processes, such as nuclear-cytosolic transport, transcriptional regulation, apoptosis, protein stability, response to stress, and progression through the cell cycle.
The Autophagy Receptor Motif Plotter predicts and scores autophagy receptor binding sites in your protein. Identifying proteins connected to this pathway is critical to understanding the role of autophagy in physiological as well as pathological processes such as development, differentiation, neurodegenerative diseases, stress, infection, and cancer.




